
トラストデンタルクリニック大門浜松町院長の松本康佑と申します。
今までの歯科治療は、一般的に、時間がかかる、すぐにやり直しが必要、
1つの医院での専門性がないなど様々な課題がありました。
患者様の様々な悩みと向き合う中で、
それらの課題をすべてクリアした歯科医院を創ろうと決意いたしました。
当院のトラスト式H3トリートメントは、
1歯科医院でありながら、大学病院レベルの設備と専門性を有し、
ハイスピード、ハイクオリティ、ハイスペシャリティー で、
いかなる症例の患者様にも対応出来る体制を整えております。
院長 松本康佑
お問い合わせはこちら
※土祝は17:00まで
※日曜は集中治療のみ完全予約制にて対応可能です。
選ばれる理由
-
1
各分野のスペシャリストが在籍し、
治療の質が高い歯科治療には、数多くの診療科目があり、
そのすべてを一人で完璧にこなすのには限界があります。そのため、自院の強みである治療を勧めたり、自院で出来ないことは大学病院に依頼をしたりと、患者様が大変な思いをされ、また一つのコンセプトで治療が行われない為、治療のクオリティが下がることがあります。

当院には、インプラント、矯正、口腔外科の各分野において専門のスペシャリストが在籍 しております。
必要に応じ、各分野の歯科医師が担当することで、治療の質を高め、ほとんど全ての歯科治療を当院で完結出来るような体制を整えております。
/ -
2
症例数が非常に多い為、方法を熟知
しており、どんな症例でも対応できる集中治療は、一部のクリニックでしか行っておらず、理由として術式の煩雑さや、経験不足によるものがあると思います。
当院では院長が全顎の治療を数多く経験してきたため、集中治療を希望される患者様が多く、遠方からもたくさんの患者様が来院されます。

当院の症例としても非常に多い為、いかなる症例においてもどのような方法で、どういった手順で行えばうまくいくかを経験で分かっております。
歯がほとんどないなどの難症例で他院で断られた方も是非ご相談ください。
/ -
3
都内有数の優秀な歯科技工所と提携
どんなに歯科医師の治療がうまく進んでいたとしても、最終的に入れる歯のクオリティが不十分では治療が成功したとは言えません。
当院では、都内有数の優秀な技工士を有するセラミック・インプラント専門の技工所と提携することにより、よりクオリティの高い歯科医療の提供を実現しております。
/ -
4
厚生労働省から“外来環”の
認定を受けております安全な医療提供の為の設備を有し、器具の滅菌等、院内感染防止対策を講じている、緊急時に別の医療機関との連携体制が整っている等、厳しい基準をクリアした歯科医院にのみ与えられます。
最高クラスの滅菌の可能なクラス B 滅菌器を有し、ハンドピース用の滅菌器と2台稼働させることで、患者様の口腔内に触れうる全ての器具を滅菌しております。
/ -
5
治療内容により保険診療で対応可
集中治療行うことによる追加費用なし当院は、保険取り扱いの医療機関です。
保険診療でも出来る限り高いクオリティを保ち治療を行っております。部位や状況に合わせて保険診療を上手く使うことで治療費の総額を抑えることも可能です。
また、集中治療を行っても、通常の治療費以外は一切頂いておりません。
通常の診療に掛かる費用のみとなります。
また、事前にお見積りを提示し、納得いただいてから治療開始いたします。
当然ですが、お見積りの内容からお支払い額が相違することはございません。/ -
6
土曜日祝日も診療
最長10時間の集中治療当院は土曜日祝日も診療しており、平日に時間が取りにくい方が休みの1日を利用して通院されているケースが多いです。
また、当院では患者様のアポイントの時間を特に定めておりません。患者様の時間の都合が合えば、いくらでも治療を進めることが可能です。実際に他院で1年~1年半必要と言われたケースでも2か月以内で終了しております。
途中、昼食や休憩をとりながら行うため、患者様からも実際に行ってみるとそこまで大変ではなかったと言っていただくことがほとんどです。
お問い合わせはこちら
※土祝は17:00まで
※日曜は集中治療のみ完全予約制にて対応可能です。
こんな方が治療を
受けています

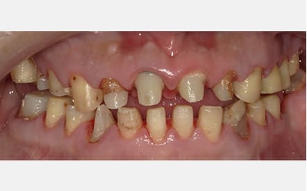
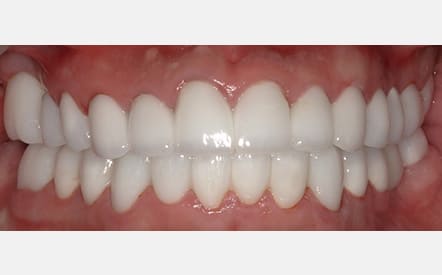
虫歯や歯周病が
重度でボロボロ虫歯や歯周病で歯がボロボロになってしまい、他人に口を見られたり、歯医者さんに行くのすら恥ずかしいという方も多くいらっしゃいます。
1度当院で診断させていただければ様々な治療法を提案できると思います。
同じような悩みを解決出来た方々はたくさんいらっしゃいます。
口元にコンプレックス
があり早く大幅に改善したいどんなことをコンプレックスと感じるかは人それぞれです。
またその治療法も様々です。
1度ご相談いただければ、改善方法を提示いたします。
歯科医院で治療を断られ、
大学病院を紹介された歯科は診療科目が多く分かれているため、歯科医師の不得意な治療は、大学病院に紹介しているケースが多く存在します。
当院では専門性をもった歯科医師が在籍し、その各々の分野を担当することで、患者様の医療情報を共有しながら、専門性が高い、質の高い医療を受けていただけます。
歯科医院で長期間治療を受けているが、
改善している気がしない「歯科医院での治療は20分~30分で週に1度」
なぜかこう考えている歯科医師と患者様が多くいらっしゃいます。
当院にいらっしゃる患者様の多くもそう考えておりましたが、その意味は特にありません。
実際には一部の治療を除き、短期的に治療するほうが、感染のリスクは下がり、治療精度は確実に上がります。
「数か月同じ歯の治療を受けている」、「1年近く通院しているが終わりが見えない」等1度相談いただければ、治療プランを示させていただきます。
入れ歯しか選択できない
と言われた現代の歯科医療は歯科医師が治療法を提示し、患者様が選択するというのが当たり前になっております。
その中で、歯科医師が出来るだけ、偏らず、多くの選択肢を提示できることが患者様の利益につながると考えております。
当院では難症例のインプラントを含め、いかなる治療も対応出来る体制を整えております。
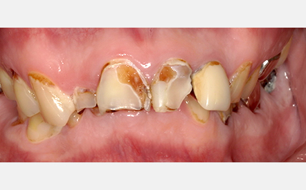
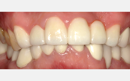
症例
CASE 1
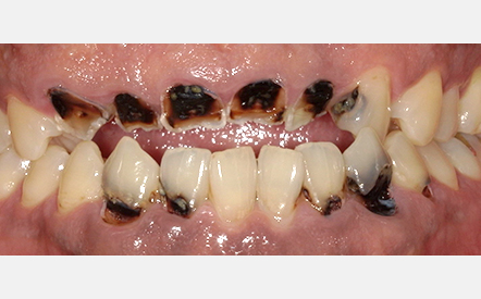
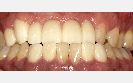
「虫歯を放置してしまって、見た目も気になる」
→神経に及ぶ虫歯により、審美、咬合障害- この症例を詳しく見る

40代
治療期間:2ヶ月半
■ 費用
154,000円/本
上下額前歯部ジルコニアセラミックによる修復■ 経過上顎前歯部の虫歯を除去、根管治療を行なった。歯茎より下まで虫歯になっていた為、歯肉切除を行い、全ての歯を保存することが出来た。仮歯を装着し、問題がないことを確認。 被せ物をジルコニアにて製作した。
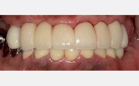
CASE 2
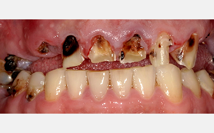
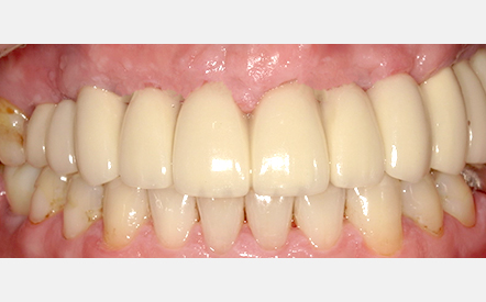
「上の歯がボロボロになってしまい、噛みづらく、見た目も改善したい」
→上顎の欠損による咬合機能、審美障害- この症例を詳しく見る

50代
治療期間:11ヶ月
■ 費用
CTシミュレーション 22,000円(税込)/回
インプラント 330,000円(税込)/本
アバットメント 55,000円(税込)/本
上部ジルコニア 154,000円(税込)/本■ 治療上下顎にインプラントを合計6本埋入し、咬合の安定を図る
まずは抜歯予定の残存歯を使い仮歯を作製
それにより顎位の安定を図り、インプラント安定までの期間にも出来るだけ負担のないように行った
安定を確認後インプラントを行い、骨とインテグレーション(結合)する期間をおいてから被せ物をジルコニアにて作製
CASE 3
「全体的に虫歯を放置してしまって、歯がボロボロ
転職を控えているので、早く綺麗にしたい」
→全顎的な虫歯による、咬合機能、審美障害- この症例を詳しく見る

40代
治療期間:2か月半
■ 費用
ハイブリッドクラウン 88,000円(税込)/本
セラミッククラウン 132,000円(税込)/本■ 治療今回は期間的な制約があった為、欠損部位は全てブリッジで対応することにした
奥歯はハイブリッド、前歯はセラミッククラウンで修復することに神経に及ぶ虫歯の歯の根管治療を行い、全ての部位に仮歯を作製
咬合の安定と疼痛がないことを確認し、セラミックにて修復を行った
CASE 4
「歯がボロボロになってしまいどうすればいいかわからない」
→臼歯(奥歯)を失ってしまっているため、咬合崩壊をきたしている- この症例を詳しく見る

40 代男性
治療期間:6か月(治療途中)
■ 費用
CTシミュレーション 22,000円(税込)/回
サージカルガイド 55,000円(税込)/回
アバットメント 55,000円(税込)/本
上部ジルコニア 154,000円(税込)/本■ 治療計画奥歯には合計6本のインプラントを埋入し、咬合の安定を図り、前歯も補綴(被せもの)を連結することで可及的に天然歯を保存。
右下はブリッジでの修復(費用の関係もあり)。■ 経過まずは仮歯を装着し、咬合の回復を図り、その後、保存可能な歯と抜歯が必要な歯を慎重に診断。並行してインプラント治療(6本同日)。
現在はインプラント上に仮歯を装着し、臼歯(奥歯)を安定させ、インプラントが骨とインテグレーション(結合)する期間を利用し、前歯の治療を行っています。
CASE 5
「全体的にボロボロで咬むところがない」
→全顎的な重度、虫歯により咬合崩壊- この症例を詳しく見る

60代
治療期間:1年
■ 費用
CTシミュレーション 22,000円(税込)/回
インプラント 330,000円(税込)/本
アバットメント 55,000円(税込)/本
上部ジルコニア 154,000円(税込)/本■ 治療全体的に崩壊している為、インプラントを合計13本埋入
咬合を作り直すことに残存歯である程度仮歯を作り、咬合位置を確認して、インプラントの埋入位置を決定
2日に分けて合計13本を埋入
インプラントが骨とインテグレーション(結合)したのを確認後セラミックにて被せ物を作製した
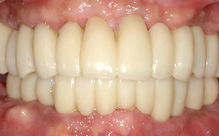
CASE 6
「全体的にボロボロなので、全てを綺麗に治したい」
→全顎的な咬合障害、審美上も問題あり。- この症例を詳しく見る

40代男性
治療期間:1年
■ 費用
ジルコニアクラウン 154,000円(税込)/本■ 治療計画全顎的に、ジルコニアによる補綴治療とインプラント治療を行った
■ 経過インプラント埋入後、仮歯を使って、咬み合わせの高さや前歯の長さなどを何度か調整して、日常生活を送っていただいた。機能上、審美状も問題のないことを確認して、型取りを行い、ジルコニアによる修復を行った。現在、咬合、機能、審美ともに全く問題なく経過しています。
お問い合わせはこちら
※土祝は17:00まで
※日曜は集中治療のみ完全予約制にて対応可能です。

院長 松本康佑 Kosuke Matsumoto
地域の皆様に信頼される身近な歯科医院を目指し、
TRUST(信頼)と名付けました
皆様、こんにちは。院長の松本康佑と申します。
私は、親戚に医療関係者が多いこと、また歯科医師として働く伯父の姿を見て、幼いころから歯科医師になることを志してきました。
歯科医師免許取得後は予防歯科を中心に学び、いかに歯を削らずに、最小限の治療で口腔内の状態を維持するかを考えておりました。
今でも私の治療コンセプトの基盤はここにあります。
しかしながら、重度歯周病、多数歯欠損の患者様を治療していく中で、高度歯周治療・咬合治療・インプラント治療の必要性を痛感させられました。
そこで、顎咬合学会の認定医や歯周病専門医のもとで、歯周外科・インプラント・咬合学を学んでまいりました。多角的に学ぶことができたことで、よりニュートラルに診断、治療計画の立案ができるようになったと自負しております。
お口の中のどんな些細なことでもご相談ください。
略歴
2013 年 日本歯科大学 卒業
2013 年~ 2016 年 東名デンタルクリニック 勤務
2016 年~ 2019 年 デンタルオフィス等々力 勤務
2020 年 トラストデンタルクリニック大門浜松町 開業資格・所属
・ストローマン サーティフィケート 取得
・ノーベルバイオケア サーティフィケート 取得
・皆川インプラントアカデミーマスターコース 受講
・日本補綴歯科学会・日本口腔インプラント学会・顎咬合学会

口腔外科担当 藤本 泰広 Yasuhiro Fujimoto
日本歯科大学 卒業
女子医科大学病院歯科口腔外科助教
インフェクションコントロールドクター
日本有病者歯科医療学会 認定医
日本口腔外科学会 認定医

矯正歯科担当 諏訪 美貴 Miki Suwa
昭和大学歯科病院 卒業
矯正歯科認定医 取得
Q&A
- Q1. 集中治療とはなんですか?
- A1. 歯科治療を、1回の治療時間を長くとり、集中的に行うことで、治療の質を高め、早期に機能回復を行うことのできる方法です。
- Q2. 集中治療のメリットとデメリットはなんですか?
- A2. メリットは短期的に行うことで治療中の感染リスクを減らし、治療の質を上げられるため、治療後の再発リスクを少なくできます。
また、通院の頻度や期間を大幅に減らすことが出来ます。
デメリットは、1回の治療時間が長いことです。 - Q3. 保険診療で出来ますか?
- A3. 全ての保険診療を取り扱っております。
インプラント、セラミック、ホワイトニング、矯正治療は保険外の診療になります。 - Q4. 見積もりだけでも可能ですか?
- A4. 口の中の検査やレントゲン撮影をさせていただければ、治療計画をお出しします。
それに掛かる費用ももちろん提示いたします。そのうえで、相談していきましょう。 - Q5. 見積もりと掛かる費用が変わることはありますか?
- A5. 一切ございません。
※別の部位において保険診療を行った場合は、その分の費用は掛かります。 - Q6. 治療時間が長いと辛くないか心配です
- A6. 休憩を取りながら行うので、患者様の多くにはそれほど大変でなかったと言っていただけております。
はじめは少しずつやってみて長く治療できそうであれば集中治療で行うことも可能です。相談しながら決めていきましょう。 - Q7. インプラント治療が無理と言われたのですが
- A7. 当院ではサイナスリフト、ソケットリフト、GBRなど高度インプラント治療も可能です。また、抜歯後の即時インプラントも可能です。
出来るだけ、患者様の負担にならないよう短期間でインプラントを埋入いたします。他院で断られた方も、ご相談ください。 - Q8. 被せ物の種類は選べますか?
- A8. 被せ物は、部位、咬み合う歯の素材、咬む力の強さ、歯ぎしりの有無、体格、費用面などを勘案して決定していきます。
ジルコニア、セラミック、ハイブリッド等からご選択頂けます。 - Q9. 相談するのにいくらかかりますか?
- A9. カウンセリング料は無料となっております。
別途初診料・レントゲン料合わせて3,000円程度です。
お問い合わせはこちら
※土祝は17:00まで
※日曜は集中治療のみ完全予約制にて対応可能です。
料金表
- ハイブリット・インレー
- ¥44,000
- セラミック・インレー
- ¥66,000
- ジルコニア・インレー
- ¥88,000
- テンポラリー・クラウン
- ¥3,300
- ハイブリッド・クラウン
- ¥88,000
- セラミック・クラウン
- ¥132,000
- フルジルコニア・クラウン
- ¥154,000
- ジルコニアオールセラミック
- ¥198,000
- ファイバーコア
- ¥22,000
インプラント料金表
- CT
- ¥22,000
- インプラント体
- ¥220,000
- インプラントオペ
- ¥55,000
- アバットメント
- ¥55,000
インプラント上部 (被せ物) 料金表
- ハイブリッド
- ¥88,000
- セラミック
- ¥132,000
- ジルコニア
- ¥154,000
- ジルコニアセラミック
- ¥198,000
インプラントオプション料金表
- サージカルガイド
- ¥55,000
- GBR
- ¥110,000
- ソケットリフト
- ¥165,000
- サイナスリフト
- ¥220,000
ホワイトニング
- オフィスホワイトニング1回(10分×2回)
- ¥33,000
- ホームホワイトニング
- ¥33,000
お支払い方法
クレジットカード

(VISA・Master・JCB・AMEX・Discover・ダイナース )
デンタルローン

(84 回まで分割可能、年利 4.5%)
銀行振込

現金
医療費控除
自分自身や家族のために医療費を支払った場合には、一定の金額の所得控除を受けることができます。
これを医療費控除といいます。
医療費控除の対象となる金額は、次の式で計算した金額(最高200万円)です。
- 保険金等で補てんされた額 )
- 10万円(最高200万円)
※所得金額の合計が200万円未満の人はその5%の金額
医療費控除額の計算例
課税所得金額が500万円の人の場合、インプラント治療費に年間90万円かかったならば、
医療費控除額= 90万円 - 10万円 = 80万円 × 税率30% = 24万円
つまり、インプラント治療に費やす費用は実質、90万円-24万円=66万円で済んだことになります。
医療費控除の税率と医療費の軽減額はこちらの表をご覧ください。
| 課税所得金額 | 税率 所得税+住民税 |
医療費(円) | |||||
|---|---|---|---|---|---|---|---|
| 50万円 | 70万円 | 90万円 | 110万円 | 130万円 | 150万円 | ||
| ~195万円以下 | 15% | 6万円 | 9万円 | 12万円 | 15万円 | 18万円 | 21万円 |
| 195万円超~ 330万円以下 |
20% | 8万円 | 12万円 | 16万円 | 20万円 | 24万円 | 28万円 |
| 330万円超~ 695万円以下 |
30% | 12万円 | 18万円 | 24万円 | 30万円 | 36万円 | 42万円 |
| 695万円超~ 900万円以下 |
33% | 13万2千円 | 19万8千円 | 26万4千円 | 33万円 | 39万6千円 | 46万2千円 |
| 900万円超~ 1800万円以下 |
43% | 17万2千円 | 25万8千円 | 34万4千円 | 43万円 | 51万6千円 | 60万2千円 |
| 1800万円超~ | 50% | 20万円 | 30万円 | 40万円 | 50万円 | 60万円 | 70万円 |



























